There’s a virus you will have by no means heard of earlier than that’s estimated to contaminate as much as 90 p.c of individuals and lurks quietly in your cells for all times—but when it turns into activated, it is going to destroy your mind. If that’s not startling sufficient, researchers reported this week that there could also be a brand new means for this virus to activate—one which impacts as much as 10 p.c of adults worldwide.
The virus is the human polyomavirus 2, generally referred to as both the JC virus or John Cunningham virus, named after the poor affected person from whom it was first remoted in 1971. It exhibits up within the urine and stool of contaminated individuals and spreads through the fecal-oral route. Many individuals are considered contaminated early in life, and blood testing surveys have recommended that fifty–90 p.c of adults have been uncovered in some unspecified time in the future.
Researchers hypothesize that the preliminary website of an infection is the tonsils, or maybe the gastrointestinal tract. However wherever it occurs, that preliminary an infection is asymptomatic. At that time, an individual is contaminated with what’s referred to as the archetype JC virus, which quietly units up a persistent however completely silent lifelong an infection.
For the overwhelming majority of individuals, that’s all their JC virus an infection can be—silent. However for an unfortunate few, the JC virus will seemingly awaken, rearrange its genetic materials, and morph right into a brain-demolishing nightmare that causes a illness referred to as progressive multifocal leukoencephalopathy or PML.
Devastating illness
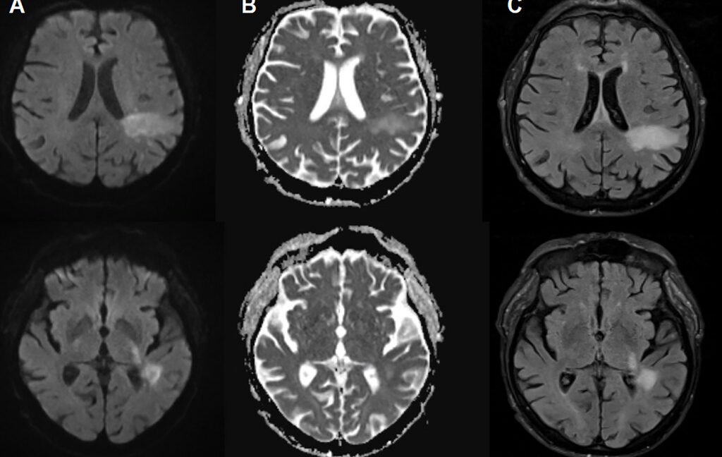
In PML, the brand new disease-causing virus or “PML-type” JC virus actively invades the mind, blowing up particular mind cells, together with the cells that type the insulating myelin sheaths that shield nerve cells. This results in intensive demyelination, which ends up in nerve cell dysfunction and demise. On imaging, PML can present up as signature lesions within the mind. These imaged lesions, paired with check findings of JC virus DNA in cerebrospinal fluid, are how PML is identified. However for sufferers experiencing PML, the signs can mimic all the things from a stroke to a number of sclerosis, inflicting issues like speech impairments, visible defects, motor dysfunction, and seizures.
PML was first recognized in 1958 in a most cancers affected person. However it was thought of a particularly uncommon situation till the Nineteen Eighties, when it began to be seen in sufferers with HIV/AIDS. In reality, PML grew to become an AIDS-defining illness, with 2–5 p.c of HIV-infected sufferers growing it within the early part of the epidemic. At that time, the situation was uniformly deadly. However with the introduction of extremely energetic antiretroviral remedy (HAART) in 1996, PML instances declined, and the illness was not a demise sentence, although survivors usually have vital lasting harm.

